— Лікар стоматолог, ендодонтист

Артем Іванович Чуп

Лікар-стоматолог із понад 6-річним клінічним досвідом, спеціалізується на лікуванні кореневих каналів, високо естетичних композитних реставраціях та комплексному терапевтичному лікуванні зубів та ясен.

ОСВІТА ТА ДОСВІД
ПРІОРІТЕТНІ НАПРЯМКИ ПРАКТИЧНОЇ ДІЯЛЬНОСТІ

Артем Іванович Чуп

Посада:Лікар стоматолог, ендодонтист
Освіта:
  • ДВНЗ “Ужгородський національний університет”
  • Клінічна ординатура та аспірантура : ДВНЗ “Ужгородський національний університет”
Спеціальність:Стоматологія
Досвід робрти:6 років

Артем Іванович Чуп

Пріорітетні напрямки практичної діяльності:
  1. Консультація та діагностика, складання комплексного індивідуального плану лікування
  2. Професійна гігієна та індивідуальний підбір засобів гігієни ротової порожнини
  3. Лікування карієсу та його ускладнень
  4. Високо естетичні композитні реставрації
  5. Лікування кореневих каналів під мікроскопом (ендодонтія), закриття перфорацій та видалення уламків інструментів
  6. Пародонтологічна діагностика та лікування ясен

Професійний розвиток, підтверджений сертифікатами

Лікар регулярно проходить курси підвищення кваліфікації, бере участь у професійних семінарах і тренінгах, що підтверджується відповідними сертифікатами. Це дозволяє застосовувати сучасні методи лікування та дотримуватися актуальних стандартів стоматології

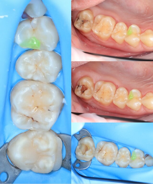
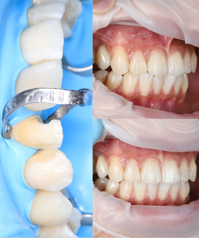
Портфоліо лікаря

У портфоліо представлені реальні клінічні випадки з практики лікаря — від первинного стану до результату лікування. Кожен кейс демонструє індивідуальний підхід, сучасні методи лікування та увагу до деталей

Залишилися запитання або хочете
записатися на прийом?

Заповніть форму, і наш адміністратор звʼяжеться з вами найближчим часом, щоб відповісти на запитання або допомогти з записом до лікаря