Блог

Як ставлять імпланти зубів
Чи боляче лікувати зуби?
Як ставлять коронки на зуби
Яка вартість лікування кореневих каналів під мікроскопом?
Як ефективно та безпечно відбілити зуби в домашніх умовах
Скільки коштує видалити зуб мудрості в Ужгороді — ціни 2025
Скільки часу потрібно носити брекети
Скільки коштує імплант зуба в Ужгороді: ціни 2025
Що робити коли болить зуб?
Скільки коштують елайнери у 2025 році в Ужгороді
Елайнери чи брекети – що краще обрати?
Що таке одномоментна імплантація зубів: що потрібно знати пацієнту
Що таке художня реставрація зубів?
Чи боляче вставляти імпланти? Відповідаємо чесно
Які зубні протези кращі у 2025?
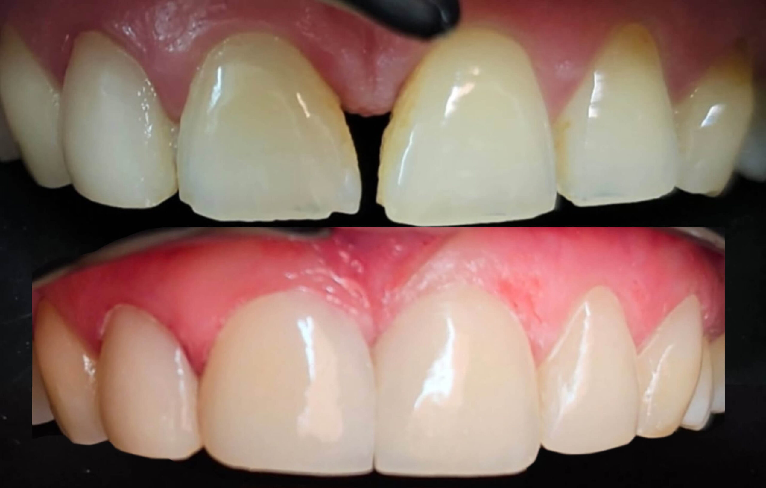
Скільки коштують вініри і що ховається за цією цифрою?
Що можна їсти після видалення зуба мудрості
У чому полягає гігієна зубів
Скільки часу займає імплантація зубів?
Як встановлюють вініри - створюємо шедеври

Корисні статті про стоматологію

Ласкаво просимо у блог клініки Picasso — місце, де стоматологія виходить за межі кабінету і стає зрозумілою, живою та цікавою. Ми створили цей простір для того, щоб ділитися знаннями, досвідом і щирою турботою. Тут ви знайдете не страшилки, а чесні відповіді на запитання, які турбують кожного, хто дбає про свою усмішку.

Що ми публікуємо

У цьому блозі ми пояснюємо складне просто, а головне — відверто. Наші лікарі розповідають не лише про те, як проходять процедури, а й про те, що насправді варто знати пацієнтам. Кожна стаття — це своєрідна шпаргалка, яка допоможе вам прийняти зважене рішення перед візитом до стоматолога.

Ось лише частина того, що ви знайдете на сторінках нашого блогу:

  • Покрокові гіди — наприклад, як встановлюють вініри, брекети чи імпланти;
  • Реальні кейси пацієнтів: трансформації, історії, результати;
  • Відповіді на часті запитання — без медичних термінів;
  • Поради з догляду за зубами вдома та після лікування;
  • Нові технології, які ми впроваджуємо у клініці.

Чому варто читати саме наш блог

На відміну від безособових порад з інтернету, наш блог — це досвід команди клініки Picasso. Ми працюємо в Ужгороді, знаємо потреби наших пацієнтів і ділимося перевіреними порадами. Тут ви дізнаєтесь усе про сучасну стоматологію в Ужгороді — від вінірів до імплантів, без паніки та складних слів.

Читати, щоб розуміти. Повертатися, щоб довіряти

Можливо, ви просто цікавитесь або ще не плануєте візит — та навіть тоді вам буде цікаво. А якщо візит на часі — блог стане чудовим першим кроком. Обіцяємо: нудно не буде.

Показати ще