— Головний лікар "Picasso Dental Clinic"

Андрій Орестович Стецик

Стоматолог-ортопед та хірург-імплантолог з понад 13-річним клінічним досвідом. Спеціалізується на повному відновленні естетики та функції усмішки, складних імплантаційних і ортопедичних випадках, цифровій стоматології та міждисциплінарному лікуванні

Профіль лікаря

Стецик Андрій Орестович — головний лікар PICASSO Dental Clinic, стоматолог-ортопед і хірург-імплантолог із понад 13-річним клінічним досвідом.

Спеціалізується на комплексному відновленні естетики та функції усмішки, складних імплантаційних і ортопедичних клінічних випадках, цифровій стоматології та міждисциплінарному лікуванні.

Google Scholar

Кафедра ортопедичної стоматології (УжНУ)

ОСВІТА ТА ДОСВІД
ПРІОРІТЕТНІ НАПРЯМКИ ПРАКТИЧНОЇ ДІЯЛЬНОСТІ

Андрій Орестович Стецик

Посада:Головний лікар "Picasso Dental Clinic"
Освіта:
  • ДВНЗ “Івано-Франківський національний медичний університет” (базова освіта)
  • ВДНЗ “Українська медична стоматологічна академія” (інтернатура)
  • ДВНЗ “Ужгородський національний університет” (клінічна ординатура)
Спеціальність:Ортопедична стоматологія, Хірургічна стоматологія, Рентгенологія
Досвід робрти:13+ років

Андрій Орестович Стецик

Пріорітетні напрямки практичної діяльності:
  1. Цифрова естетика: дизайн та планування майбутньої усмішки (DSD)
  2. Естетичне протезування: встановлення керамічних вінірів, вкладок та безметалевих коронок
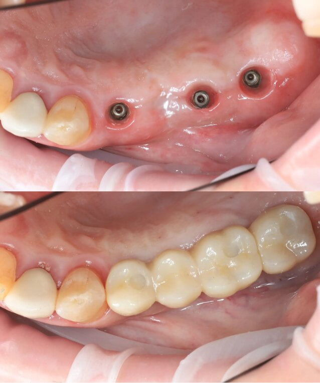
  3. Хірургічна стоматологія та імплантація: складне видалення зубів, кісткова пластика (аугментація), синус-ліфт
  4. “​Рожева естетика”: мікрохірургія та пародонтальна пластика для ідеального ясенного контуру

Стецик Андрій Орестович поєднує практичну майстерність з науковою діяльністю, тому як головний лікар “PICASSO Dental Clinic” при індивідуальному плануванні пацієнта використовує комплекстий підхід, що базується на протоколах доказової медицини та найвищих стандартах цифрової стоматології.

Професійний розвиток, підтверджений сертифікатами

Лікар регулярно проходить курси підвищення кваліфікації, бере участь у професійних семінарах і тренінгах, що підтверджується відповідними сертифікатами. Це дозволяє застосовувати сучасні методи лікування та дотримуватися актуальних стандартів стоматології

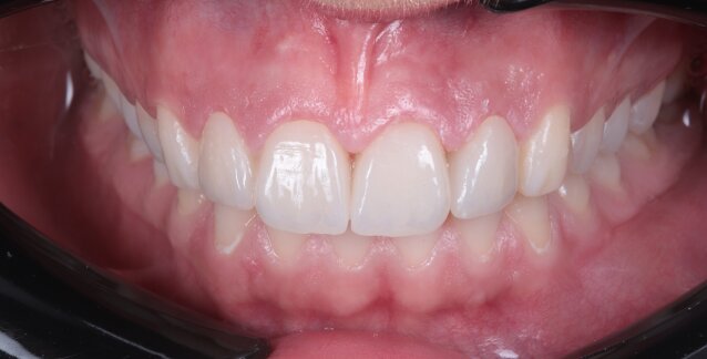
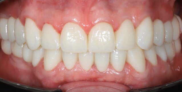
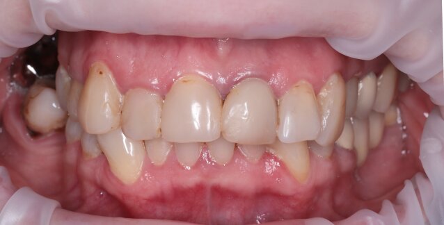
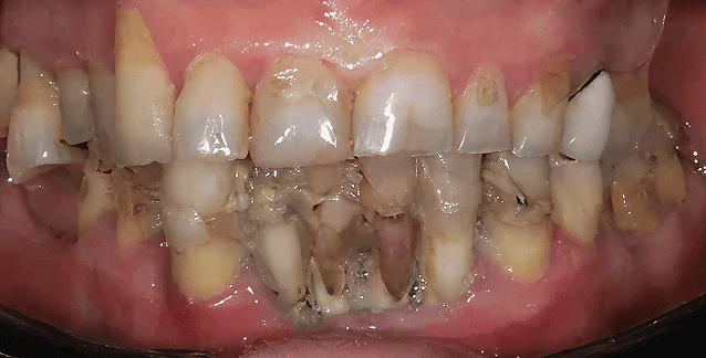
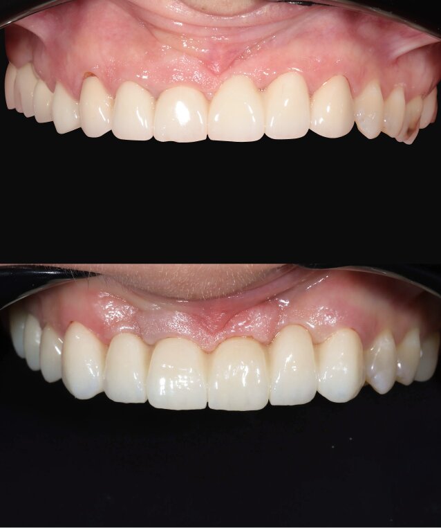
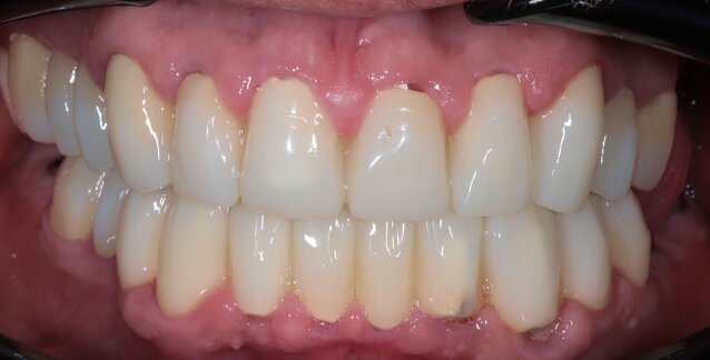
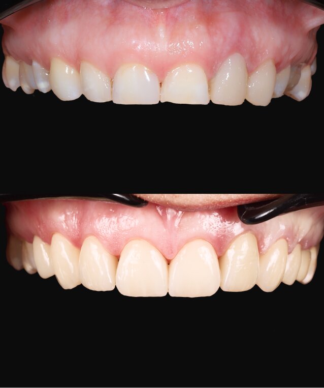
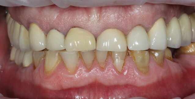
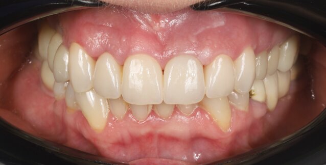
Портфоліо лікаря

У портфоліо представлені реальні клінічні випадки з практики лікаря — від первинного стану до результату лікування. Кожен кейс демонструє індивідуальний підхід, сучасні методи лікування та увагу до деталей

Залишилися запитання або хочете
записатися на прийом?

Заповніть форму, і наш адміністратор звʼяжеться з вами найближчим часом, щоб відповісти на запитання або допомогти з записом до лікаря