Що краще металокераміка чи цирконій?

Експертиза статті “Що краще металокераміка чи цирконій?”
Експертна перевірка: 1 березня 2026
Андрій Орестович Стецик — головний лікар стоматологічної клініки PICASSO, стоматолог-ортопед, хірург-імплантолог
АВТОР
Головний лікар • Стоматолог-ортопед • 13+ років досвіду
Марія Олегівна Стецик — стоматолог-ортопед, CEO клініки PICASSO, старша викладачка УжНУ
РЕЦЕНЗЕНТ
Стоматолог-ортопед • CEO клініки
Старша викладачка УжНУ

Цирконій чи металокераміка (коротко)

  • Цирконій — найкращий варіант для передніх зубів. Виглядає як натуральна емаль, має високу біосумісність і довгий термін служби (15–20 років). Дорожчий, але не темніє біля ясен.
  • Металокераміка — практичне рішення для жувальних зубів. Міцна й доступніша за ціною, проте потребує більшого обточування та може з часом давати темний край біля ясен. Середній термін служби — 10–15 років.
  • Факт: обидва матеріали мають понад 97% 5-річної виживаності.

Що таке металокерамічна коронка?

Металокераміка чи цирконій: металокерамічна коронка

Металокерамічна коронка — це литий металевий каркас (сплав хрому-кобальту або хрому-нікелю), покритий шарами стоматологічної кераміки. Упродовж десятиліть була «золотим стандартом» протезування. Зубний технік пошарово наносить кераміку на каркас, формуючи природну анатомію зуба — якість результату безпосередньо залежить від його кваліфікації.

  • Краще для: жувальних зубів (моляри, премоляри)
  • Плюси: висока міцність, доступніша ціна
  • Мінуси: значне обточування зуба (1,5–2 мм), у більшості випадків депульпація, можливий темний край біля ясен, просвічування металу при яскравому світлі, ризик алергії на нікель або кобальт (2–5% населення)

Що таке цирконієва коронка?

Цирконій чи металокераміка: Цирконієва коронка

Цирконієва коронка — це безметалева конструкція з діоксиду цирконію (ZrO₂) — високотехнологічного мінерального матеріалу, який понад 20 років використовують у хірургії (ендопротезування суглобів), а відносно нещодавно — у стоматології. Коронку фрезерують із цільного блоку на CAD/CAM обладнанні, що забезпечує мікронну точність прилягання, недосяжну при ручному литті.

  • Краще для: передніх зубів (зона посмішки) а також для жувальних зубів
  • Плюси: природна прозорість, відсутність темного краю, мінімальне обточування (0,3–0,6 мм), збереження нерва, гіпоалергенність, термін служби 15–20+ років
  • Мінуси: вища вартість (у 1,5–2 рази дорожче), монолітний варіант може поступатися пресованій кераміці (E-max) в ультра-естетиці фронту

Монолітний vs вінірований цирконій — важлива різниця

Монолітний цирконій

Коронка повністю з одного шматка ZrO₂, без покриття. Максимальна міцність (до 1200 МПа). Ідеально для жувальних зубів.

Вінірований цирконій

Каркас із цирконію + шари кераміки зверху. Найкраща естетика, природне пропускання світла. Ідеально для зони посмішки.

Металокераміка чи цирконій — що краще?

Обидва матеріали клінічно надійні, але відрізняються естетикою, вартістю, обточуванням і біосумісністю.

Параметр Металокераміка Цирконій
Естетика Добра, але метал може просвічувати; з часом можливий темний край біля ясен. Відмінна: пропускає світло як натуральна емаль, не дає «синяви» ясен.
Міцність Висока, підходить для жувальної групи. Дуже висока; монолітний цирконій — до 1200 МПа.
Біосумісність Можлива алергія на нікель/кобальт (у чутливих пацієнтів). Гіпоалергенний безметалевий матеріал.
Обточування 1,5–2 мм; часто потрібна депульпація. 0,3–0,6 мм; у 99% випадків зуб залишається «живим».
Ризик сколів Кераміка може відколотися від каркаса при високих навантаженнях. Мінімальний для монолітного; вінірований має ризик сколів облицювання.
Точність виготовлення Лиття + ручна робота техніка (якість залежить від лабораторії). CAD/CAM фрезерування (висока повторюваність і точність).
Термін служби 10–15 років. 15–20+ років.
Вартість Бюджетний сегмент. Преміум-сегмент (часто у 1,5–2 рази дорожче).

→ Не можете визначитися? Запишіться на консультацію — разом оберемо найкращий варіант

Які коронки краще ставити на передні зуби?

Для зони посмішки цирконієві коронки є оптимальним вибором. Вони пропускають світло як натуральна емаль, не дають темного краю біля ясен і забезпечують максимально природний вигляд.

На відміну від металокераміки, цирконій не просвічує металом при яскравому освітленні та дозволяє зберегти більше власних тканин зуба.

«Для відновлення зубів від ікла до ікла ми завжди рекомендуємо цирконій із керамічним облицюванням — бездоганна естетика з максимальним збереженням тканин.»
Стоматолог-ортопед · Клініка PICASSO

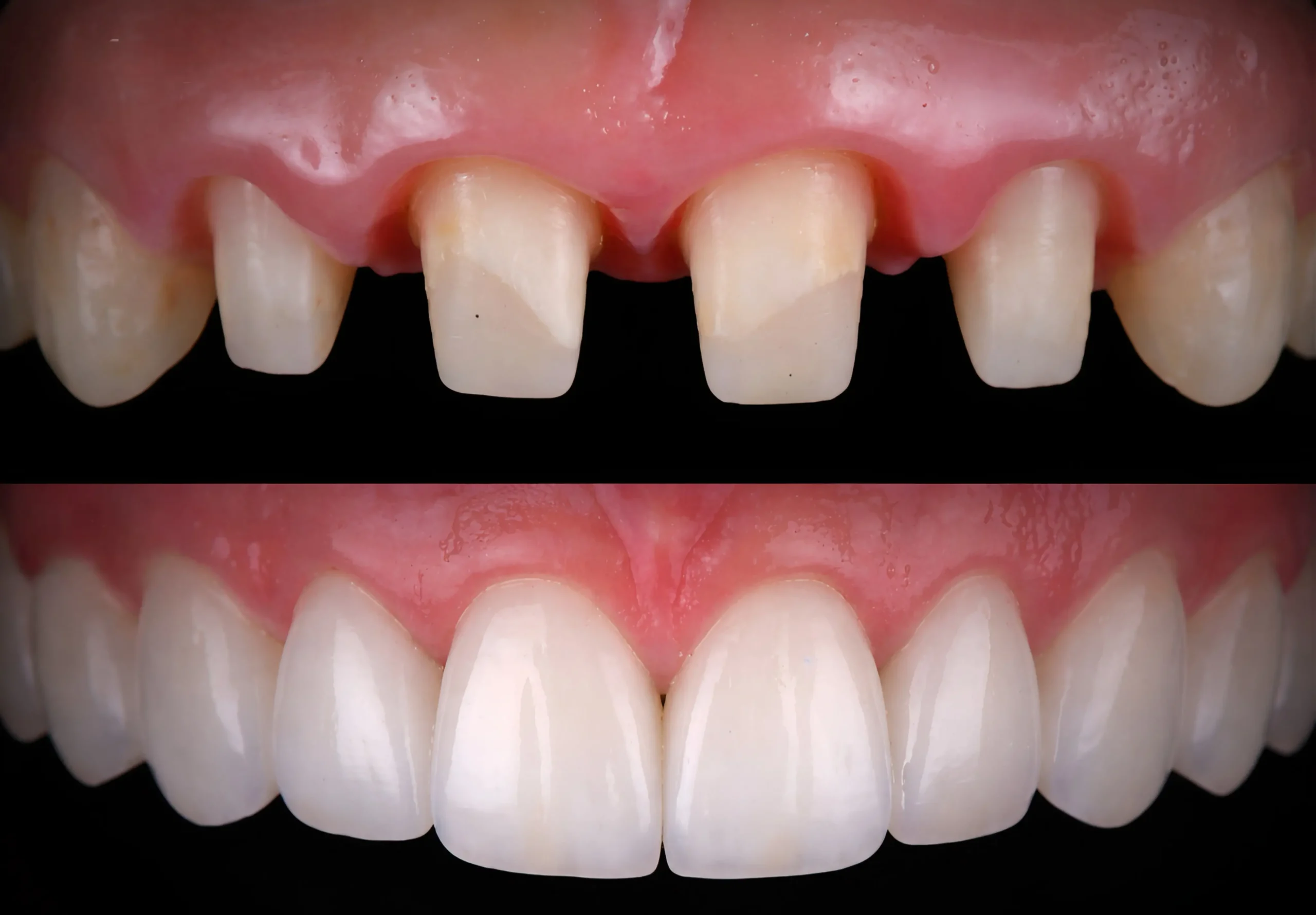
Як виглядають зуби з цирконію?

Практично не відрізнювальні від натуральних. Навіть досвідчені стоматологи не завжди можуть візуально відрізнити якісну цирконієву коронку від «рідного» зуба. Пацієнти часто розповідають, що близькі дізнаються про протезування лише з їхніх власних слів — настільки природним є результат.

Металокераміка чи цирконій? Цирконієві коронки
Як виглядають цирконієві коронки. Фото: PICASSO

Скільки коштує коронка з цирконію?

Орієнтовні ціни в Україні на 2026 рік:

Тип Ціна Особливості
Металокерамічна 4 000 – 8 000 грн Залежить від сплаву
Монолітна цирконієва 8 000 – 15 000 грн CAD/CAM, бренд цирконію
Вінірована цирконієва 12 000 – 20 000 грн + ручне керамічне облицювання

Ціна цирконієвої коронки в стоматології PICASSO — від 11 500 грн.
Перегляньте актуальний прайс на стоматологічні послуги.

«Чому цирконій дорожчий? CAD/CAM обладнання та сам матеріал коштують значно більше за стоматологічні сплави. Але якщо порахувати «ціну за рік служби» — різниця з металокерамікою мінімальна. А заміна коронки через 10 років — це повторне обточування, тимчасові конструкції та додаткові витрати. Тому ми рекомендуємо розглядати протезування як довгострокову інвестицію з цирконієм.»
Стоматолог-ортопед · Клініка PICASSO

Коли обрати металокераміку, а коли — цирконій?

Вибір матеріалу — завжди індивідуальне рішення, яке приймається разом із лікарем-ортопедом після діагностики. Ось типові сценарії з нашої практики:

Жувальні зуби + обмежений бюджет → металокераміка

Пацієнт потребує відновлення 6-го та 7-го зуба (моляри), які не видно при посмішці. Корені надійні, зуби сильно зруйновані. Металокерамічні коронки забезпечать необхідну міцність для жувального навантаження за меншу вартість.

Передні зуби (зона посмішки) → цирконій

Пацієнтку турбувало потемніння ясен і неприродний вигляд старих металокерамічних коронок — особливо помітно при фото зі спалахом. Рішення: цирконієві коронки з керамічним облицюванням. Ясна повернули здоровий рожевий колір, коронки стали невидимими навіть для близького оточення.

Алергія на метали → тільки цирконій

При підтвердженій алергії на нікель (компонент стандартних сплавів) металокераміка протипоказана. Діоксид цирконію повністю біоінертний — єдиний безпечний варіант.

Протезування на імплантатах → цирконій

Конструкція «титановий імплантат + цирконієва коронка» — одна з найнадійніших у сучасній імплантології. Цирконій забезпечує ідеальну естетику біля ясен навколо імплантату.

Отже, металокераміка чи цирконій?

Вибір між металокерамічною та цирконієвою коронкою визначається клінічною ситуацією: обсягом збережених тканин зуба, станом прикусу, жувальним навантаженням, наявністю бруксизму та вимогами до естетики.

Цирконій доцільний у зоні посмішки та у випадках, коли важливі біосумісність, мінімальне обточування та стабільний колір ясен.
Металокераміка може бути обґрунтованим вибором для жувальної групи зубів за умови достатнього обсягу твердих тканин і відсутності підвищених естетичних вимог.

План лікування формується після клінічного огляду, рентгенологічної діагностики та аналізу оклюзії. Остаточне рішення приймається індивідуально.

!

Медичний дисклеймер

Матеріал має інформаційний характер і не є індивідуальною медичною рекомендацією. Вибір типу коронки, матеріалу та плану протезування визначається лікарем-ортопедом після клінічного огляду, діагностики та аналізу прикусу.

Наукові джерела

  1. Pjetursson BE et al. Survival and complication rates of zirconia and metal-ceramic crowns. Clin Oral Implants Res. 2018. DOI: 10.1111/clr.13306 PubMed: 30328190
  2. Sailer I et al. All-ceramic versus metal-ceramic restorations: systematic review. Dental Materials. 2026. DOI: 10.1016/j.dental.2026.01.005 PubMed: 41489982
  3. Marginal adaptation of CAD/CAM zirconia crowns compared with metal-ceramic restorations. J Prosthet Dent. 2024. DOI: 10.1016/j.prosdent.2024.03.012 PubMed: 38580582
  4. Akaltan F et al. Fracture resistance of monolithic versus veneered zirconia restorations. J Prosthet Dent. 2023. DOI: 10.1016/j.prosdent.2023.05.014 PubMed: 37349158

Читайте також

Як ставлять коронки на зуби
Як ставлять коронки на зуби
Етапи встановлення коронки: підготовка зуба, виготовлення та фіксація.
Цирконієві коронки: аналіз 200+ відгуків пацієнтів
Цирконієві коронки: аналіз 200+ відгуків пацієнтів
Реальні відгуки про цирконій: естетика, термін служби, можливі ризики.
Чи боляче лікувати зуби?
Чи боляче лікувати зуби?
Як працює сучасна анестезія під час лікування та протезування.
Як ставлять коронки на передні зуби
Як ставлять коронки на передні зуби
Особливості протезування в зоні посмішки та вимоги до естетики.