Усмішка, яка змушує зупиняти погляди, — така доступна не лише зіркам. Завдяки сучасним технологіям та клінікам, як стоматологія «Пікассо», встановлення вінірів стало доступним і абсолютно безпечним способом отримати той самий wow-ефект. Цей матеріал стане вашим гідом у тому, як саме встановлюють вініри — чесно та поетапно.
Що таке вініри і навіщо вони потрібні
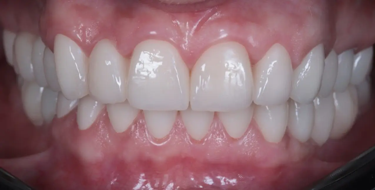
Вініри — це тонкі керамічні накладки, які встановлюють на передні зуби, щоб покращити їх форму, колір або розташування. У клініці «Пікассо» в Ужгороді це — не просто стоматологічна процедура, а трансформація зовнішності та впевненості в собі.
Їх обирають ті, хто:
- має сколи, тріщини, потемніння емалі або щілини між зубами;
- хоче ідеальну форму та рівний зубний ряд;
- втомився від регулярного відбілювання.
Якщо відображення у дзеркалі викликає бажання посміхатись ширше — це точно ваш варіант.
Як встановлюють вініри покроково
Сама процедура — це не про «пришили зуб за годину». Це точна, майже ювелірна робота з кількома етапами, кожен з яких важливий.
- Консультація та діагностика. Лікар оцінює стан зубів, робить фото, сканування, знімки.
- Дизайн усмішки. За допомогою цифрового моделювання ви ще до початку бачите, як виглядатиме нова усмішка.
- Підготовка емалі. Легка обробка поверхні зуба, часто без болю і без бормашини.
- Тимчасові вініри. Ви носите їх кілька днів, щоб звикнути до нової форми та оцінити вигляд.
- Фінальне встановлення. Постійні вініри надійно фіксуються — і все, готово.
Процес займає всього 2–3 візити — швидко, комфортно та під контролем.
Які вініри пропонує клініка Picasso
Перед тим як обрати тип конструкції, пацієнт отримує повну консультацію. Ось варіанти, доступні в клініці:
| Вид конструкції | Матеріал | Вартість від | Особливості |
|---|---|---|---|
| Вініри E-max | Кераміка (рефрактор) | 12 000₴ | Максимальна естетика, прозорість, тонкість |
| Коронки E-max | Кераміка + цирконій | 7 000₴ | Підвищена міцність, для жувальних зубів |
| Реставрація на імпланті | Діоксид цирконію | 14 000₴ | Встановлюється на імплантат, природний вигляд |
Ці варіанти підбираються індивідуально, залежно від потреб, стану зубів і очікуваного результату. Усі вони відповідають найвищим естетичним і функціональним стандартам.
Коментар від експерта

Чому вініри — це хороша ідея
Перш ніж зважитись на встановлення, варто зрозуміти, чому тисячі людей по всьому світу — і в Ужгороді зокрема — обирають саме вініри. Ось кілька основних переваг, які змушують замислитись: «А чому б і ні?»
- Мінімальна інвазивність: зуби залишаються живими;
- Результат вже за 7–10 днів;
- Виглядають натурально і не змінюють колір;
- Служать 10–15 років;
- Повністю змінюють зовнішність.
І це ще не все — найкраще про них говорить усмішка пацієнтів після процедури. Вона говорить більше, ніж будь-яка реклама.
Усмішка, яка працює на вас
Ужгород — місто, де сучасна стоматологія перестала бути мрією. Тут створюють усмішки, що підкорюють співрозмовника з першого погляду. Якщо ви мрієте про оновлений вигляд без болю та з результатом, який тримається роками — вініри можуть стати ідеальним рішенням.
Тим паче тепер ви точно знаєте, як встановлюють вініри — крок за кроком, без страху і без перебільшень. Не відкладайте — ваша ідеальна усмішка вже чекає на перший крок.