Що таке художня реставрація зубів?

Ви ховаєте посмішку на фото? Відчуваєте невпевненість через скол на передньому зубі, стару потемнілу пломбу чи щілинку між зубами? Вам здається, що для ідеального результату потрібні складні та дорогі процедури? Зупиніться. Сучасна стоматологія — це не тільки про лікування, а й про мистецтво. І художня реставрація зубів є яскравим доказом цього. Це технологія, що дозволяє відтворити красу вашої посмішки, зберігши при цьому здоров’я зубів. Фахівці стоматології PICASSO розкажуть, як це працює.

У цій статті ви дізнаєтесь:

  • Що таке художня реставрація зубів і чим вона відрізняється від пломби
  • У яких випадках реставрація є найкращим рішенням
  • Які існують методи: пряма та непряма реставрація
  • Як проходить процедура в PICASSO
  • Скільки тримається реставрація
  • Скільки коштує реставрація зубів в Ужгороді
  • Відповіді на найпоширеніші запитання пацієнтів

Що таке художня реставрація зубів і чим вона краща за звичайну пломбу?

Художня реставрація — це відновлення форми, кольору, прозорості та функції зуба за допомогою високотехнологічних композитних матеріалів, що повністю імітують натуральну емаль і дентин.

Техніка художньої реставрації універсальна і дозволяє працювати з будь-якою групою зубів, проте завдання перед лікарем стоять різні. Для фронтальної групи (різці та ікла), що формує зону посмішки, пріоритетом є бездоганна естетика: ідеальне влучання у відтінок, відтворення прозорості ріжучого краю та унікального мікрорельєфу емалі. Для жувальної групи (премоляри та моляри) на перший план виходить відновлення правильної анатомії та функції. Лікар скрупульозно відтворює кожен горбок і фісуру, щоб зуб не тільки виглядав природно, але й правильно брав участь у процесі жування.

Ключова відмінність від звичайної пломби — у філософії.

  • Пломба — це функціональне “закриття дірки” після лікування карієсу.
  • Реставрація — це скульптурна робота, де стоматолог, наче митець, пошарово відтворює всю анатомію зуба, його рельєф та унікальні відтінки.

Основна філософія художньої реставрації — максимальне збереження здорових тканин зуба. На відміну від коронок, нам не потрібно сильно обточувати зуб. Ми працюємо лише в межах дефекту, зберігаючи те, що дала вам природа.

“Досягнення естетичного успіху при прямій реставрації передніх зубів композитом вимагає від клініциста як технічних, так і художніх навичок.”
Direct Anterior Composites: A Practical Guide, ResearchGate
Пряма композитна реставрація зубів
Пряма (композит)
Непряма керамічна реставрація зубів
Непряма (кераміка)

Показання та протипоказання: коли реставрація є найкращим рішенням?

Цей метод є ідеальним вибором для вирішення багатьох естетичних завдань.

Показання:

  • Сколи та тріщини емалі внаслідок травм.
  • Каріозні ураження, особливо на передніх зубах.
  • Діастеми та треми (щілини між зубами).
  • Зміна кольору зуба, плями, потемніння.
  • Заміна старих, неестетичних пломб.
  • Корекція форми або розміру зуба (наприклад, стертість).

Протипоказання:

  • Недостатня гігієна ротової порожнини.
  • Патологічний бруксизм (скрегіт зубами), що не коректується капою.
  • Алергія на компоненти композитного матеріалу.
  • Неможливість якісно ізолювати зуб від вологи (слини).

Важливо розуміти: часто реставрація є фінальним етапом комплексного лікування, наприклад, після ортодонтії чи ендодонтичного лікування.

Методи реставрації: прямий vs непрямий

Існує два ключових підходи до створення ідеальної посмішки.

1. Пряма композитна реставрація

Це класичний метод, коли лікар створює реставрацію безпосередньо у роті пацієнта за один візит. Використовуючи фотополімерні композити, він пошарово моделює нову поверхню зуба.

  • Термін служби: 5–8 років.

2. Непряма керамічна реставрація (накладки, вініри)

Процес проходить у два етапи. На першому візиті лікар готує зуб, знімає цифровий або аналоговий відбиток і відправляє його в лабораторію. Там технік створює ідеальну керамічну реставрацію (наприклад, з матеріалу E-max). На другому візиті лікар фіксує її.

  • Термін служби: 10–15 років і більше.
Характеристика Пряма (композит) Непряма (кераміка)
Кількість візитів 1 2
Матеріал Фотополімерний композит Пресована кераміка (E-max)
Естетика Висока Максимально можлива
Міцність Добра Дуже висока
Стабільність кольору Може з часом тьмяніти Не змінює колір
Вартість Доступніша Вища

Художня реставрація vs Альтернативи: вініри та коронки

Часто пацієнти губляться у виборі. Розставмо все по місцях.

Критерій Художня реставрація Вінір Коронка
Головна мета Відновити частину зуба, виправити невеликі дефекти Кардинально змінити колір і форму передніх зубів Повністю відновити сильно зруйнований зуб і його функцію
Обробка зуба Мінімальна або відсутня Мінімальне шліфування передньої поверхні Значне обточування зуба з усіх боків
Показання Сколи, тріщини, щілини, невеликі дефекти форми Множинні дефекти кольору, форми, “тетрациклінові зуби” Зруйнованість зуба > 50%, депульповані зуби

Етапи реставрації зубів: технології на службі мистецтва

1. Консультація та Digital Smile Design (DSD)

Ми не просто слухаємо, ми візуалізуємо. За допомогою фото та спеціального програмного забезпечення ви можете побачити свою майбутню посмішку ще до початку лікування.


2. Професійна гігієна та підбір кольору

Ідеальна чистота — запорука точного вибору відтінку матеріалу при природному освітленні.


3. Анестезія та ізоляція

Ми використовуємо сучасні анестетики для повного комфорту. Ізоляція зуба системою кофердам — наш золотий стандарт. Це гарантує сухість робочого поля, а отже, надійність та довговічність реставрації.


4. Створення реставрації

Працюючи з дентальним мікроскопом, наш лікар пошарово наносить матеріал, відтворюючи природну гру світла і тіні.


5. Фінальні штрихи

Ретельне полірування до дзеркального блиску та перевірка прикусу, щоб ніщо не заважало вашому комфорту.

Скільки коштує художня реставрація зубів в Ужгороді?

Вартість реставрації залежить від складності роботи, обсягу зруйнованих тканин та вибраних матеріалів. Ми застосовуємо прозору систему ціноутворення для прямої композитної реставрації з використанням мікроскопа — це гарантія точності й довговічності результату.

Рівень складності Опис Ціна
1 рівень Невеликий скол, корекція фісур 2 000 ₴
2 рівень Відновлення до 1/3 коронки зуба 2 500 ₴
3 рівень Відновлення до 1/2 коронки зуба 3 000 ₴

Непряма керамічна реставрація (E-max, цирконій): від 7 000 ₴.
Вартість непрямої керамічної реставрації вища і визначається індивідуально після діагностики. Точну вартість вашого лікування ми зможемо визначити на персональній консультації.

Стецик Андрій Орестович -- головний лікар Picasso Dental Clinic

«Навіть одна невелика реставрація може змінити посмішку і повернути впевненість. Наше завдання — створити природний і довговічний результат за допомогою мікроскопа та якісних матеріалів».

Стецик Андрій Орестович, головний лікар

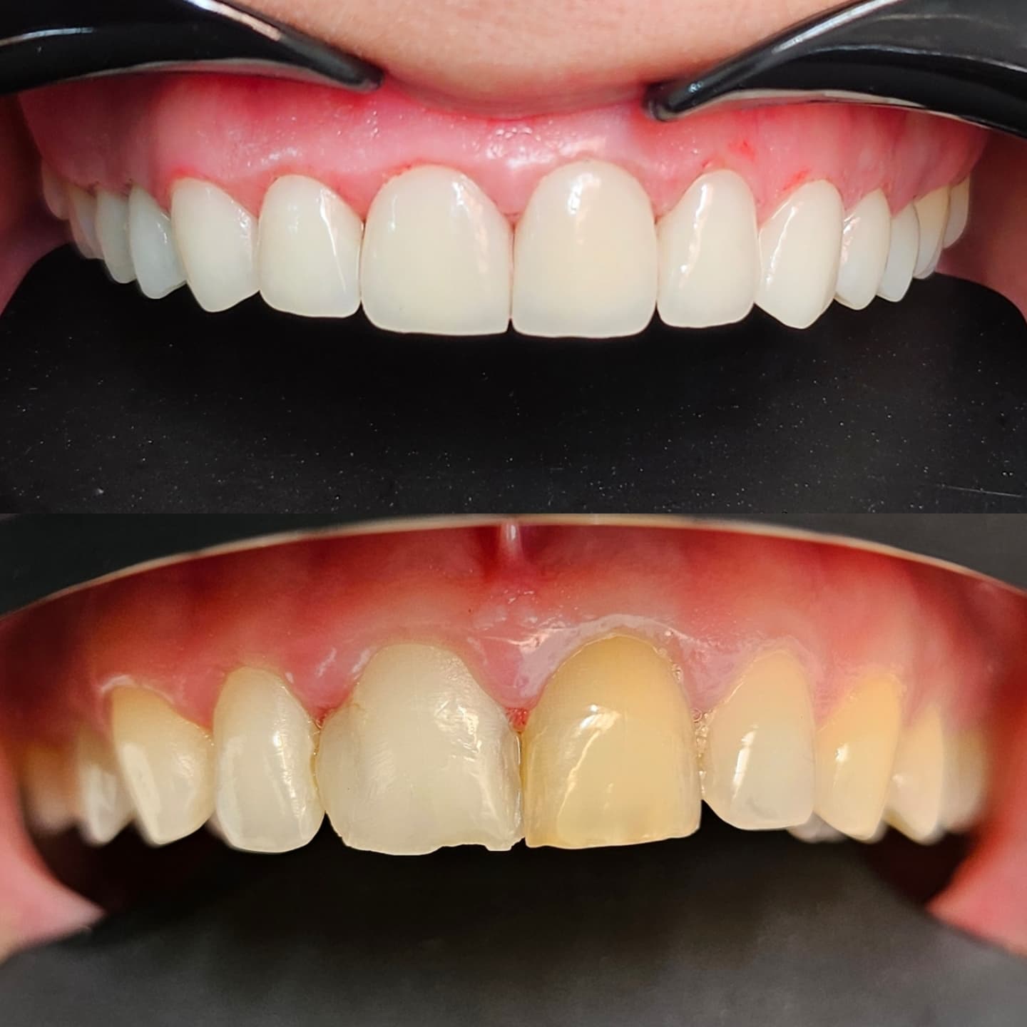
Кейс з нашої практики: етапи реставрації

  • Метод: пряма композитна реставрація під кофердамом.
  • Час: 90 хв на один зуб.
  • Результат: відновлені фісури та горбики, природний колір і блиск, коректний прикус.
  • Ціна: 2-й рівень складності – 2500 грн.

Інвестиція у вашу впевненість

Художня реставрація — це більше, ніж просто стоматологічна процедура. Це інвестиція у вашу впевненість, у можливість посміхатися відкрито і без сорому.

Не відкладайте свою мрію на потім. Запрошуємо вас на консультацію до Picasso Dental Clinic, де ми разом створимо план перетворення вашої посмішки.

Відповіді на популярні запитання (FAQ)

Чи боляче робити художню реставрацію?

Скільки часу займає процедура?

Як довго служить композитна реставрація?

Що краще: пряма реставрація чи керамічний вінір?

Яка ціна художньої реставрації одного зуба в Ужгороді?

Залишились питання? Запишіться на консультацію

Важливо: Ця стаття має виключно інформаційно-ознайомлювальний характер і не може бути основою для самодіагностики та самолікування. Інформація, надана в статті, не замінює професійну консультацію лікаря. Для встановлення діагнозу та призначення лікування обов’язково зверніться до кваліфікованого фахівця.